A massive brain tumor and zero symptoms
A massive brain tumor and zero symptoms

Function member: Wanda, Function member since 2022
Function focus: MRI
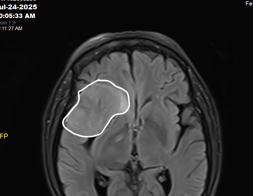
Discovery: A large (5 cm) benign meningioma detected before symptoms
Risk avoided: Potential seizures, progressive neurological impairment, emergency intervention
Biomarker imbalances:
- Elevated ApoB
- Elevated LDL particle size and number
- Thyroid markers
For Wanda, health and fitness was her lifestyle.
Her mornings always started on the trails of the Cascade Mountains with her dog.
Some days it was a quick hike. Other days, a full summit.
She never smoked and she exercised daily.
She adopted a Mediterranean diet long before it was popular.
She saw a naturopath for 20 years.
"I was the healthiest person I knew," she says.
No alarm bells
So she wasn’t expecting anything unusual from her 160+ lab tests with her Function membership.
Wanda joined in 2022 after hearing Mark Hyman, M.D. talk about it on his podcast.
She wasn't sick. She didn't have symptoms.
But she believed in a simple principle: You can't manage what you don't measure.
She learned her thyroid needed support.
Her ApoB was elevated. Her LDL particle size needed attention.
She worked closely with her naturopath on all of it.
Just the kind of proactive care she'd always practiced.
She adjusted her thyroid medication.
Added supplements.
Monitored her progress and felt fine.
But her lab tests only told one part of the story.
The fastest MRI results
She had always wanted a proactive MRI scan to gain a deeper, more comprehensive look at hidden tissues and organs, but the cost was too high.
When she saw the MRIs available through Function for $499, she booked one immediately.
I wanted to prove I was as healthy on the inside as I felt on the outside.
The appointment took less than 30 minutes.
She left, ran some errands, and went home.
She expected a clean report in about a week.
Instead, her phone rang that same afternoon.
A 2-minute pity party
It was a nurse practitioner.
"She was very compassionate and sweet," Wanda remembered.
I kind of felt sorry for her because I knew her job was to deliver bad news.
The woman said the scan showed a very large brain tumor.
She needed to see a neurosurgeon.
Immediately.
Wanda was in shock.
When she hung up, she opened her email.
The full radiology report was already there.
Her husband wasn’t home and Wanda was alone.
"I had a 2-minute pity party," she says. "And that was it.
It was the only time she cried about her brain tumor.
Then she got to work.

Growing in silence
Her naturopath got her a referral within hours.
The first neurosurgeon recommended removing the tumor.
But Wanda wanted a second opinion.
She asked around for the best neurosurgeon in the area.
Turns out he practiced 40 minutes from her house.
During the consultation, the surgeon didn't sugarcoat anything.
The tumor wasn’t just large. He called it gigantic. A 5 cm tumor the size of her fist or a potato.
It had been growing for a decade or more.
Sitting behind her right eye, dangerously close to her optic nerve.
"We need to get this out before you start having symptoms," he said. "You're at high risk for seizures."
Thirty days after her scan, she went into surgery.
A quick recovery
The surgery took 8 hours.
When Wanda woke up, her right eye was swollen shut and purple.
"I looked like I went a couple rounds with Mike Tyson," she says.
But the pain? Minimal.
For the next week, all she took was over-the-counter Tylenol.
Within a week, she was logging 10,000 steps a day.
Within 2 weeks, she was back in the kitchen cooking from scratch.
Within a month, she was lifting the same weights she lifted before surgery.
At night, she'd lie in bed and think:
Did I really have brain surgery?
Early detection matters
Given the size and risk of the tumor, it needed to come out.
The pathology came back benign, which means the tumor cells are not likely to spread.
Her surgeon later told her without the MRI, it would have continued to grow silently.
Symptoms could have appeared much later. Possibly more severe.
"You don't want brain surgery when you're 80," he said.
And without the scan, she never would have known it was there.

Wanda’s new mission
Now, Wanda has become a force of advocacy.
She tells everyone—loved ones, friends, strangers—to get an MRI.
"Early detection saves lives," she says. "Dr. Hyman talks about it all the time. I'm living proof."
She also is grateful for her lifelong choices and habits.
I truly believe I healed so quickly because I was in optimal health before this happened. I was strong physically and I was healthy.
Wanda calls it the ultimate lesson: Prepare your body like you'd prepare for a mountain.
You train. You assemble your team. You study the route. And when it's time to summit, you're ready.
Her family is next. She's already planning to bring them down from northern Canada.
"I'm going to get them all scanned," she says. "That's my goal."
